Understanding Gingivitis: Symptoms and Treatment | Dental Care
Gingivitis FAQ
What is gingivitis & periodontitis?
Gingivitis is an inflammation of the gums, usually caused by a bacterial infection. If left untreated, it can become a more serious infection known as periodontitis. Gingivitis and periodontitis are major causes of tooth loss in adults, according to the American Dental Association. Gingivitis is usually caused by an overgrowth of dental plaque.
What causes gingivitis?
The most common cause of gingivitis is poor care of teeth and gums, which allows plaque to form on teeth. This causes swelling of the surrounding gum tissues. Plaque forms on your teeth. Plaque is a sticky film that has no color. It's mainly made up of bacteria that form on your teeth after eating starches and sugars in food.
What is the most common form of gingivitis?
The most common form of gingivitis, and the most common form of periodontal disease overall, is in response to bacterial biofilms (also called plaque) that are attached to tooth surfaces, termed plaque-induced gingivitis. Most forms of gingivitis are plaque-induced.
What is simple gingivitis?
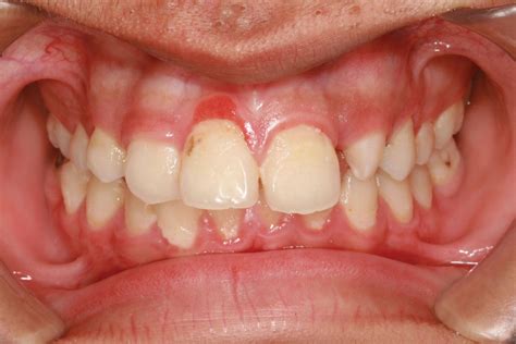
Simple gingivitis first causes a deepening of the sulcus between the tooth and gingiva, followed by a band of red, inflamed gingiva along one or more teeth, with swelling of the interdental papillae and easily induced bleeding. Pain is usually absent.
What are the symptoms of gingivitis?
The symptoms of gingivitis are somewhat non-specific and manifest in the gum tissue as the classic signs of inflammation :
Gingivitis References
If you want to know more about Gingivitis, consider exploring links below:
What Is Gingivitis
- https://www.mayoclinic.org/diseases-conditions/gingivitis/symptoms-causes/syc-20354453
- https://www.healthdirect.gov.au/gingivitis
- https://my.clevelandclinic.org/health/diseases/10950-gingivitis-and-periodontal-disease-gum-disease
- https://www.medicalnewstoday.com/articles/241721
- https://www.healthline.com/health/gingivitis
- https://www.verywellhealth.com/what-is-gingivitis-1058927
- https://en.wikipedia.org/wiki/Gingivitis
- https://www.msdmanuals.com/en-au/home/quick-facts-mouth-and-dental-disorders/periodontal-diseases/gingivitis
Gingivitis Information
Explore Related Topics
What are the risks of overusing antibiotics for dental issues?
Concerned about the dangers of excessive antibiotic use for dental problems? Join the conversation to learn more!
How long should antibiotics be taken for a dental abscess?
Wondering about the optimal duration for taking antibiotics for a dental abscess? Get advice from our community members!
Is Clindamycin a good choice for dental infections?
Considering Clindamycin for your dental infection? Hear from others who have used it and join the discussion!
